
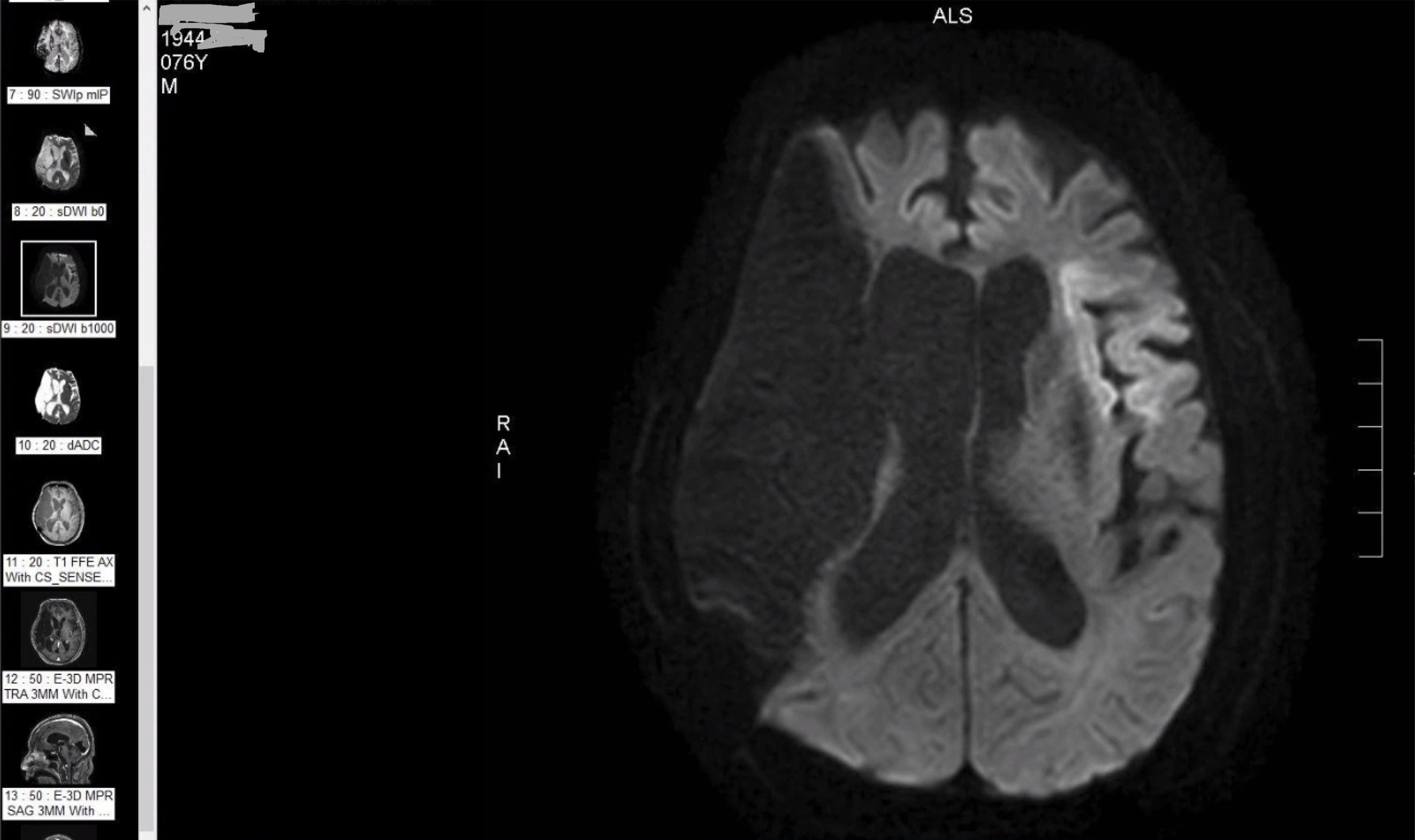
M/76
right hemiplegia due to left cerebral infarction 2020.9.12.
- left insula, frontal area
aphasia
old left hemiplegia due to cerebral infarction 2012.10.15.
cerebral edema, craniectomy, cranioplasty operation history
manual muscle power test 3/2 3/3
hemiplegic shoulder pain, shoulder subluxation, arm sling applied state, left
spasticity modified Ashworth scale I+ at left upper extremity and lower extremity
essential hypertension
DM
urinary frequency, neurogenic bladder
atrial fibrillation
near total dependent activity of daily life
dysphagia
'Physical Medicine & Rehabilitation > STROKE' 카테고리의 다른 글
| BG, CR infarction (0) | 2021.07.12 |
|---|---|
| ACA territorry infarction (0) | 2021.07.12 |
| frontal ICH, SDH (0) | 2021.07.12 |
| BG ICH (0) | 2021.07.12 |
| MCA territory infarction (0) | 2021.07.12 |