
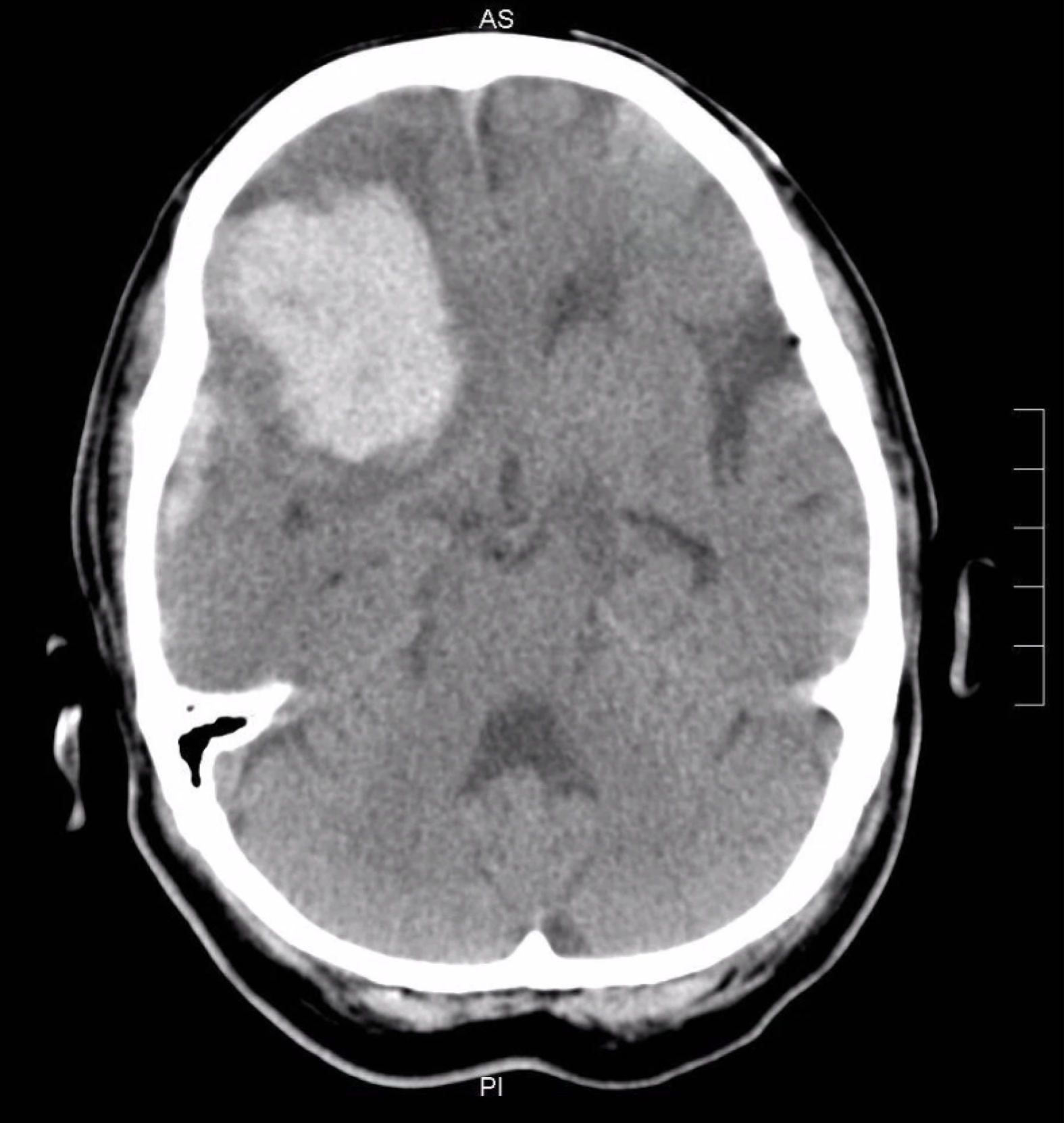
Left hemiplegia d/t right frontal ICH. SDH. 2020.10.30.
Pul. HTN.
DM Mx. 20YA
Dysphagia ; L-tubal feeding state
Both knee pain
r/o stress induced CMP
hematuria history
left UE swelling
Total dependent ADL
severe cognitive impairment
simple obey command -
left hemiplegic shoulder pain
F-cath voiding state
senile deafness ; 보청기
MMT 1/3 1/3
coccyx sore ; 10x10 cm Gr 3
'Physical Medicine & Rehabilitation > STROKE' 카테고리의 다른 글
| ACA territorry infarction (0) | 2021.07.12 |
|---|---|
| old & new cerebral infarction (0) | 2021.07.12 |
| BG ICH (0) | 2021.07.12 |
| MCA territory infarction (0) | 2021.07.12 |
| Gait of control dysfunction (0) | 2014.04.21 |