

F/87
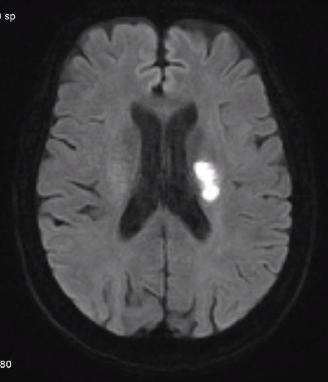
right hemiplegia d/t left BG, CR infarction 2019.8.8.
self gait without assistive device
; moderate assisted gait
some risk of fall down
hemiplegic shoulder pain, right
FF 100 with pain
IR 40 with pain
dysarthria
mild both knee pain
LBP 5YA
hernia OP 5YA
mild cognitive impairment history ; 3~4YA
right hemiplegic shoulder pain
partial D-ADL
MMT 3/4 4/4
'Physical Medicine & Rehabilitation > STROKE' 카테고리의 다른 글
| dysphagia VFSS (0) | 2021.08.02 |
|---|---|
| MCA territory infarction (0) | 2021.07.12 |
| ACA territorry infarction (0) | 2021.07.12 |
| old & new cerebral infarction (0) | 2021.07.12 |
| frontal ICH, SDH (0) | 2021.07.12 |