
M/68
right hemiplegia d/t cbr. infarction 2020.10.5.
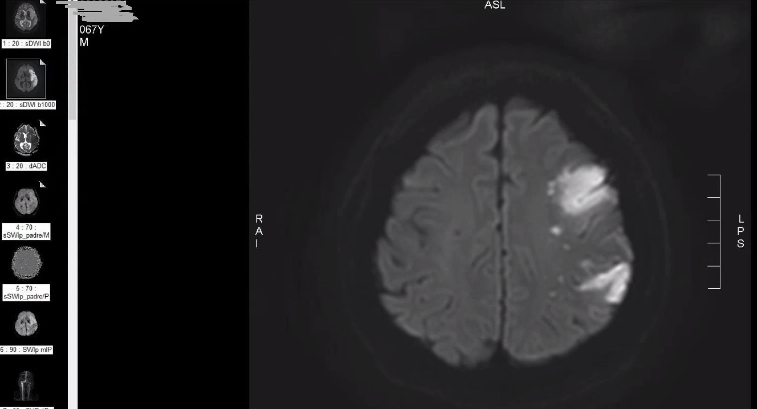
left MCA territory infarction
severe cognitive impairment
simple obey command -
dysphagia ; L-tubal feeding state
global apahsia
high risk of fall down ; 침상에서 일어나려는 행동 지속
STEMI 2019.8.29. stent x2
a. fib
rhabdomyolysis ; onset 당시
2017.12 THR OP ; fall down fracture
right knee pain ; OA ; 수술 예정 중 attack 발생
total dependent ADL
neurogenic bladder ; F-cath voiding state
right shoulder pain & subluxation
'Physical Medicine & Rehabilitation > STROKE' 카테고리의 다른 글
| old & new cerebral infarction (0) | 2021.07.12 |
|---|---|
| frontal ICH, SDH (0) | 2021.07.12 |
| BG ICH (0) | 2021.07.12 |
| Gait of control dysfunction (0) | 2014.04.21 |
| Neuropathic pain medication (0) | 2014.02.12 |