
M/80
prior right hemiplegia d/t ICH, left thalamic c IVH 2020.2.6.
prior cerebral infarction Hx. few YA; no sequelae
2021.5월 중순 fall down, head trauma?
Acute infarction, Lt. cerebellum
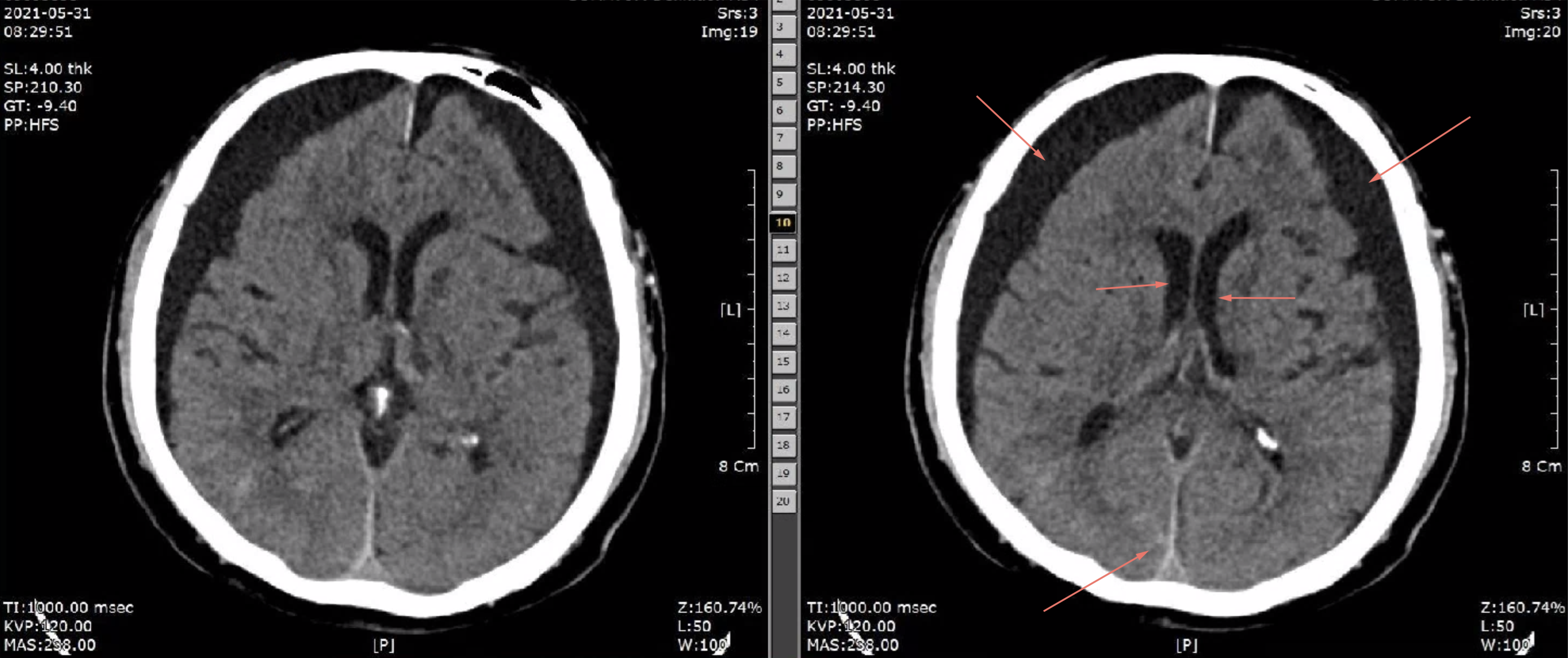
SDH, both cerebral convexity, falx and tentorium
HTN
BPH
severe cognitive impairment
simple obey command +
dysarthria
both shoulder pain
right shoulder LOM
Rt. elbow contracture, old
partial dependent ADL
mat function ; sit up -
static sitting balance ; poor
sore at coccyx 4x4 gr 2

'Physical Medicine & Rehabilitation > TRAUMATIC BRAIN INJURY' 카테고리의 다른 글
| SDH (0) | 2021.07.12 |
|---|